颈肩腰腿痛网

 找回密码
 立即注册
痛王医学网校直播微课 痛王全国颈肩腰腿痛培训理疗师班 痛王全国颈肩腰腿痛培训十合一精华班 弧刃针、线针刀、小针刀、特色埋线、实用整脊、臭氧、臭氧水、臭氧大自血、尸体解剖、火灸疗法 痛王全国颈肩腰腿痛医学专家班 痛王连锁
颈肩腰腿痛网 首页 病案分享 查看内容

得了膝关节炎怎么办?

2017-4-16 21:09| 投稿者: 周松林AA| 评论: 0

摘要: 得了膝关节炎怎么办? ----------膝关节骨性关节炎典型病例分享 河南省中医院疼痛科周松林 患者:潘*,男,84岁,退休 住址:河南省郑州市 就诊时间:2016 年 10月 地点:河南省中医院疼痛科 主诉:双膝关节间断 ...
得了膝关节炎怎么办?
                             ---------- 膝关节骨性关节炎典型病例分享
           河南省中医院疼痛科周松林

患者:潘*,男,84岁,退休

住址:河南省郑州市

就诊时间:2016 10

地点:河南省中医院疼痛科

主诉:双膝关节间断疼痛10年,加重1周。

 

现病史:10年前劳累后出现双膝关节疼痛,上下楼梯时加重,休息后缓解,疼痛逐渐加重,期间曾在郑州某医院骨科行“右膝关节镜清理术”,并配合“药物、理疗、针刀”等治疗疼痛症状缓解,期间病情间断遇劳复发;1周前过度劳累后双膝疼痛加重,屈曲活动受限,影响正常生活,休息后无缓解,来诊。发病来,神志清,无发热及盗汗,纳眠差,二便调,体重未见明显减轻。

 

专科检查:双膝骨性膨大、肿胀,双侧内外膝眼饱满,双膝内侧副韧带压痛(++),右膝鹅足部压痛(++),双膝关节间隙环周压痛(++),双膝屈曲接近伸直位时有明显顶触感并伴有压痛,活动度:左膝屈曲110°,过伸-10°,右膝屈曲115°,过伸0°,髌骨研磨试验阳性,抽屉试验阴性,挺髌试验阳性,双膝浮髌试验阴性,麦氏征阳性;双下肢肌力、感觉正常,病理征阴性,余查体未见明显异常。发作时VAS评分7分。

 

辅助检查:血常规:(-);

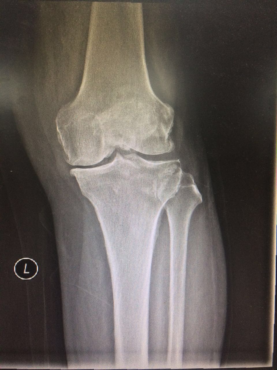
双膝 DR:关节面硬化,关节间隙变窄,游离体。

MRI:膝关节少量积液、半月板损伤,软骨下缺血坏死。

诊断:双膝关节骨性关节炎

处理:弧刃针标准疗法(药物、弧刃针、火灸、玻璃酸钠、三氧)

   

  20后,患者双膝关节疼痛明显减轻,VAS评分2分,活动可!

 3月后回访无异常。

 

评论:

膝关节骨关节炎诊断标准:

1、近1个月内反复膝关节疼痛;

2X线片(站立或负重位)示关节间隙变窄、软骨下骨硬化和() 囊性变、关节缘骨赘形成 ;

3、关节液(至少 2)清亮、黏稠, WBC<2000/ml

4、中老年患者(40)

5、晨僵≤3分钟;

、活动时有骨摩擦音( ) 。  

: 综合临床、实验室及 X线检查,符合 1 +2条或 1+3 +5 +6 条或 1+4 +5 +6,可诊断膝关节 OA

 

骨关节炎为一种退行性病变,与年龄增长、肥胖、劳损、创伤、关节先天性异常、骨节畸形等诸多因素有关,是疼痛科常见的疾病,目前治疗膝关节骨关节炎的方法很多,包括理疗、药物内服外用、神经阻滞、弧刃针标准疗法,关节置换及其他手术疗法。

    我科采用弧刃针标准疗法,对大部分膝关节骨关节炎有较好疗效。弧刃针可以对关节周围张力高的软组织进行松解,间接增大关节间隙;三氧消除局部炎症,镇痛,消除滑模炎症,减少关节积液;火灸促进血液循环,消除炎症介质,辅助弧刃针治疗;玻璃酸钠相当于关节润滑剂,直接附着于受损软骨表面,促进软骨再生,减轻疼痛,通过上述多种机制促进关节恢复,减轻疼痛,恢复正常生活。弧刃针疗法治疗操作简单,痛苦小,疗效确切,费用低廉,安全可靠。

 

 

附:患者影像学资料:


鲜花

握手

雷人

路过

鸡蛋

最新评论

相关阅读
Baidu
颈肩腰腿痛理疗店加盟 颈肩腰腿痛之王王学昌 颈肩腰腿痛加盟 疼痛连锁加盟

15日前微信支付报名精华班,500元报名费抵1000元学费!

手机版|Archiver|关于我们|颈肩腰腿痛网 ( 京ICP备05068258号-28 [北京两全其美科技公司版权所有] )

GMT+8, 2025-12-16 11:53 , Processed in 0.060512 second(s), 19 queries .

Powered by Discuz! X3.4 Licensed

Copyright © 2001-2021, Tencent Cloud.

返回顶部