颈肩腰腿痛网

 找回密码
 立即注册
痛王医学网校直播微课 痛王全国颈肩腰腿痛培训理疗师班 痛王全国颈肩腰腿痛培训十合一精华班 弧刃针、线针刀、小针刀、特色埋线、实用整脊、臭氧、臭氧水、臭氧大自血、尸体解剖、火灸疗法 痛王全国颈肩腰腿痛医学专家班 痛王连锁
颈肩腰腿痛网 首页 科普 关节炎 查看内容
▲关节炎
▲关节炎——提供关节炎的症状、最好治疗方法、自我治疗体操图、关节保养知识等!

弧刃针刀治疗视频:严重膝关节骨性关节炎都需要手术吗?

2014-12-16 22:56| 投稿者: 中医正骨| 评论: 0

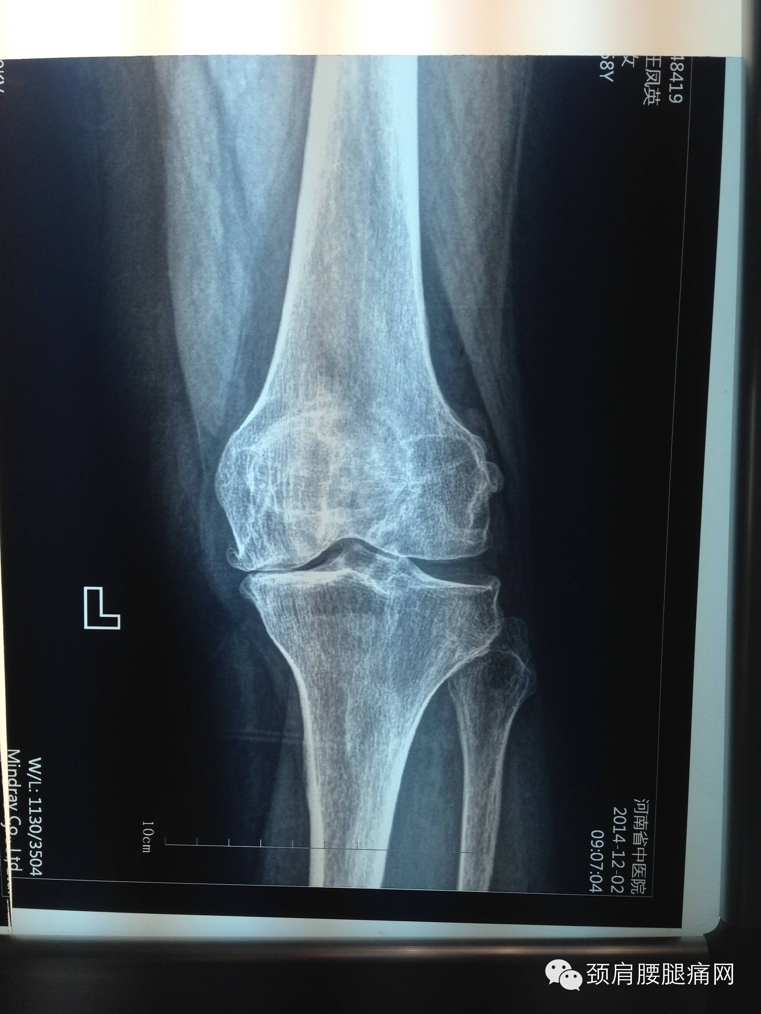
摘要: 弧刃针刀治疗视频 严重膝关节骨性关节炎都需要手术吗? 患者王某,女,58岁,郑州市金水区干部。双膝关节疼痛4年,现左膝关节强直(僵直),关节屈伸活动度仅有20度,行走困难,多家医院检查诊断为双膝关节重度骨 ...
弧刃针刀治疗视频
 
严重膝关节骨性关节炎都需要手术吗?
 

        患者王某,女,58岁,郑州市金水区干部。双膝关节疼痛4年,现左膝关节强直(僵直),关节屈伸活动度仅有20度,行走困难,多家医院检查诊断为双膝关节重度骨性关节炎,建议人工关节置换手术治疗。
        患者非常害怕手术,就来到河南省中医院疼痛科,王学昌主任采用弧刃针刀结合臭氧水治疗,如上视频。术中无激素、无麻药、患者无任何不适,术后患者当即可以下地活动,膝关节活动度大幅改善至可屈曲膝关节120°,患者很是满意!
                                                                                                                              2014.12.15

鲜花

握手

雷人

路过

鸡蛋

相关阅读

最新评论

相关阅读
关节炎
Baidu
颈肩腰腿痛理疗店加盟 颈肩腰腿痛之王王学昌 颈肩腰腿痛加盟 疼痛连锁加盟

15日前微信支付报名精华班,500元报名费抵1000元学费!

手机版|Archiver|关于我们|颈肩腰腿痛网 ( 京ICP备05068258号-28 [北京两全其美科技公司版权所有] )

GMT+8, 2025-12-15 08:52 , Processed in 0.123562 second(s), 21 queries .

Powered by Discuz! X3.4 Licensed

Copyright © 2001-2021, Tencent Cloud.

返回顶部